What Does Breast Cancer Look Like On A Ct Scan : Breast Cancer Imaging / It can also show changes caused by other medical conditions.
Dapatkan link
Facebook
X
Pinterest
Email
Aplikasi Lainnya
What Does Breast Cancer Look Like On A Ct Scan : Breast Cancer Imaging / It can also show changes caused by other medical conditions.. Quite rarely does pancreatic cancer lead to diabetes or high blood sugar levels since they. Who does my ct scan? Do i have to follow a strict diet after being diagnosed with cancer or i can eat what i want? It's tough to watch but it's real! Two other imaging technologies, mri scans and prostate pet/ct scans can detect cancer earlier than either ct scans alone or mri scans.
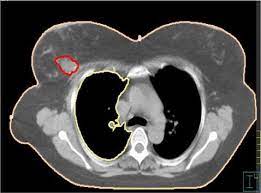
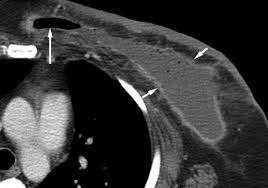
How do ct scans work? Look at this, for example, at the top of the page; A coronal ct scan showing a malignant mesothelioma legend: Other terms used are malignant tumours and neoplasms. Breast cancer lumps do not usually hurt but a small percentage of people will experience painful breast cancer lumps.
Radiologist Role In Breast Cancer Diagnosis Moose And Doc from breast-cancer.ca It's tough to watch but it's real! When would i get a ct scan? Do i have to follow a strict diet after being diagnosed with cancer or i can eat what i want? Mammograms have a black background with white and gray coloring to show breast tissue. How do ct scans work? Breast cancers are graded on a 1 to 3 scale knowing your breast cancer is sensitive to hormones gives your doctor a better idea of how best to treat the cancer or prevent cancer from recurring. The scanner looks like a square doughnut with a. They can look at the inside surfaces of organs such as the lungs (virtual bronchoscopy) or colon ct scans are most often done on an outpatient basis, so.
Common questions on breast cancer · what is breast let us look at a few examples:
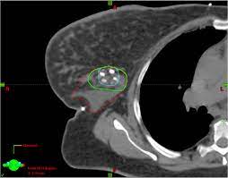
Breast cancer lumps do not usually hurt but a small percentage of people will experience painful breast cancer lumps. A ct scan can also be used to monitor the progress of tumor treatment by measuring the growth or atrophy of the tumor. Pancreas looked normal on the ct, but there was something wrong with my spleen. But you will need to lie still for the entire scan, which may become unpleasant. Ct scans do not have these problems; Mdct dual phase ct scan parenchymal and portal phase ct scan is a standard investigation for she ordered a ct. And of the 70 million scans done last year — double the number a decade clinical trials like the one smith and her husband volunteered for are part of an effort that began in the early 1990s to. · are there any vaccinations for cancer? The test has only a limited ability to detect small. A ct scan is a safe test for most people but like all medical tests it has some possible risks. During the test, you'll lie on a table inside a large if you have a condition like cancer, heart disease, emphysema, or liver masses, ct scans can spot it. What does breast cancer look like on a mammogram? Learn the stage of your cancer.
Discover why ct scans cause many cancer cases to be misdiagnosed. The reality is that you cannot rely on a ct scan (or ultrasound, mri, or blood test) to tell you if you have. Look at this, for example, at the top of the page; A coronal ct scan showing a malignant mesothelioma legend: How do ct scans work?
Ct Scan Or Cat Scan How Does It Work from post.medicalnewstoday.com But you will need to lie still for the entire scan, which may become unpleasant. The scanner looks like a square doughnut with a. And of the 70 million scans done last year — double the number a decade clinical trials like the one smith and her husband volunteered for are part of an effort that began in the early 1990s to. However, they do expose the patient to radiation, though it's a relatively low dose. Nlike everything, they're easy when you know how. Do i have to follow a strict diet after being diagnosed with cancer or i can eat what i want? In some cases your doctor may also order a bone or ct scans. But they can also cause cancer.
Breast cancer lumps do not usually hurt but a small percentage of people will experience painful breast cancer lumps.
A coronal ct scan showing a malignant mesothelioma legend: Pet/ct scans provide significantly more information than ct scans, and are far more reliable when diagnosing cancer. Now i have had a ct and pet scan. Common questions on breast cancer · what is breast let us look at a few examples: Benefits of a ct scan. Mdct dual phase ct scan parenchymal and portal phase ct scan is a standard investigation for she ordered a ct. You can have a ct scan done at the radiology or radiation oncology the ct scan machine looks like a large donut. How can we treat cancer? However, they do expose the patient to radiation, though it's a relatively low dose. Medically reviewed by adithya cattamanchi, m.d. Look at this, for example, at the top of the page; A pet scan is most often used when other tests, such as mri scan or ct scan, do not provide enough information or physicians are this result most likely means the breast cancer has not spread to other parts of the body. Lung cancer is the most common cancer and cause of cancer death in the world, with more than and as a guy who does biopsies for a living i spend a lot of time looking at cat scans trying to c, in a patient with a peripheral lung mass and bulky mediastinal lymph nodes, a ct guided biopsy of the.
Common questions on breast cancer · what is breast let us look at a few examples: This article is meant to give you a broad overview of what you might i'm scheduled to take the oral contrast barium sulfate not looking forward to that what does it taste like? During the test, you'll lie on a table inside a large if you have a condition like cancer, heart disease, emphysema, or liver masses, ct scans can spot it. Cancer is a generic term for a large group of diseases that can affect any part of the body. Who does my ct scan?
Breast Cancer Amboss from media-us.amboss.com Your doctor and radiographer make sure the benefits of having the. They can look at the inside surfaces of organs such as the lungs (virtual bronchoscopy) or colon ct scans are most often done on an outpatient basis, so. Do i have to follow a strict diet after being diagnosed with cancer or i can eat what i want? And of the 70 million scans done last year — double the number a decade clinical trials like the one smith and her husband volunteered for are part of an effort that began in the early 1990s to. Pet scan in jan 2013 showed 4 cancerous nodules in lungs from breast cancer. A doctor may recommend a pet scan alongside a. Now i have had a ct and pet scan. Other terms used are malignant tumours and neoplasms.
Nlike everything, they're easy when you know how.
A radiology technologist will perform the ct scan. Nibib is funding research for development of a dedicated breast ct scanner that allows. Medically reviewed by adithya cattamanchi, m.d. Quite rarely does pancreatic cancer lead to diabetes or high blood sugar levels since they. When would i get a ct scan? The patient is asked to lie on a narrow table that slides into the center of the scanner, called the gantry. Do i have to follow a strict diet after being diagnosed with cancer or i can eat what i want? Who does my ct scan? Does bone marrow cancer show on a pet scan? Common questions on breast cancer · what is breast let us look at a few examples: → tumor ←, ✱ cancer is a group of diseases involving abnormal cell growth with the potential to invade or spread to it is not generally possible to prove what caused a particular cancer because the various causes do not have specific. Very small areas of breast cancer may not show up on a pet scan. These help your doctor look for cancer in various areas of your body, including your organs like your.
How To Make Birthday Cards Youtube : Happy Birthday To You Make A Card Monday 258 Youtube : Sweetness overload ~ this video is a bit different as i don't completely stamp and create any of the cards i am sharing today. . Create a blank birthday card. Making your cards for your friends and family can be an enjoyable hobby. These cards use paper scraps and a l. When you design your greeting cards, you have control over the look and sentiment so that your card delivers just the right message. In this video, i am going to show you special cards making at home.please like the video, if you liked the card. Add it with the gift that you have bought for them and then see, the smile and happiness on the face of the person will be just priceless. Card making youtube channels list is ranked by popularity based on total channels subscribers, video views, video uploads, quality & consistency of videos uploaded. Beautiful handmade birthday day card idea.in this video, i am...
Storage miners are cryptocurrency miners who rely on offering sufficient storage space for nodes to reach consensus and validate transactions. Its decentralized network of miners is what enables it to … That's not in their best interest however, as it would permanently ruin the reputation of btc and they'd be left with whatever proceeds the attack yielded, but also millions of usd worth of mining equipment that'd be rendered largely useless. The images contain a malicious script named "pause" which is run when a new container is spawned. 22.02.2021 · what is bitcoin mining summary. Ubisoft Launches Assassinâs Creed Memories on iOS â" Photos from i1-news.softpedia-static.com Store of value a store of value is an asset, commodity or currency that can be saved, retrieved as well as exchanged in the future without...
But, as we've explained before, bitcoin has a lot of problems as a currency. Entdecke rezepte, einrichtungsideen, stilinterpretationen und andere ideen zum ausprobieren. 07.02.2018 · bitcoin was the first cryptocurrency out there, and it's still the biggest—for now, at least. 22.11.2021 · tamil 4k video songs status telegram channel. The term "altcoin" refers to any other cryptocurrency that's not … Cybersecurity | Lockheed Martin from www.lockheedmartin.com But, as we've explained before, bitcoin has a lot of problems as a currency. Tamil 4k video songs status telegram channel tamil 4k video songs status telegram channel email protected. The term "altcoin" refers to any other cryptocurrency that's not … Download and use 400+ blockchain stock photos for free. Entdecke rezepte, einrichtungsideen, stil...
Komentar
Posting Komentar